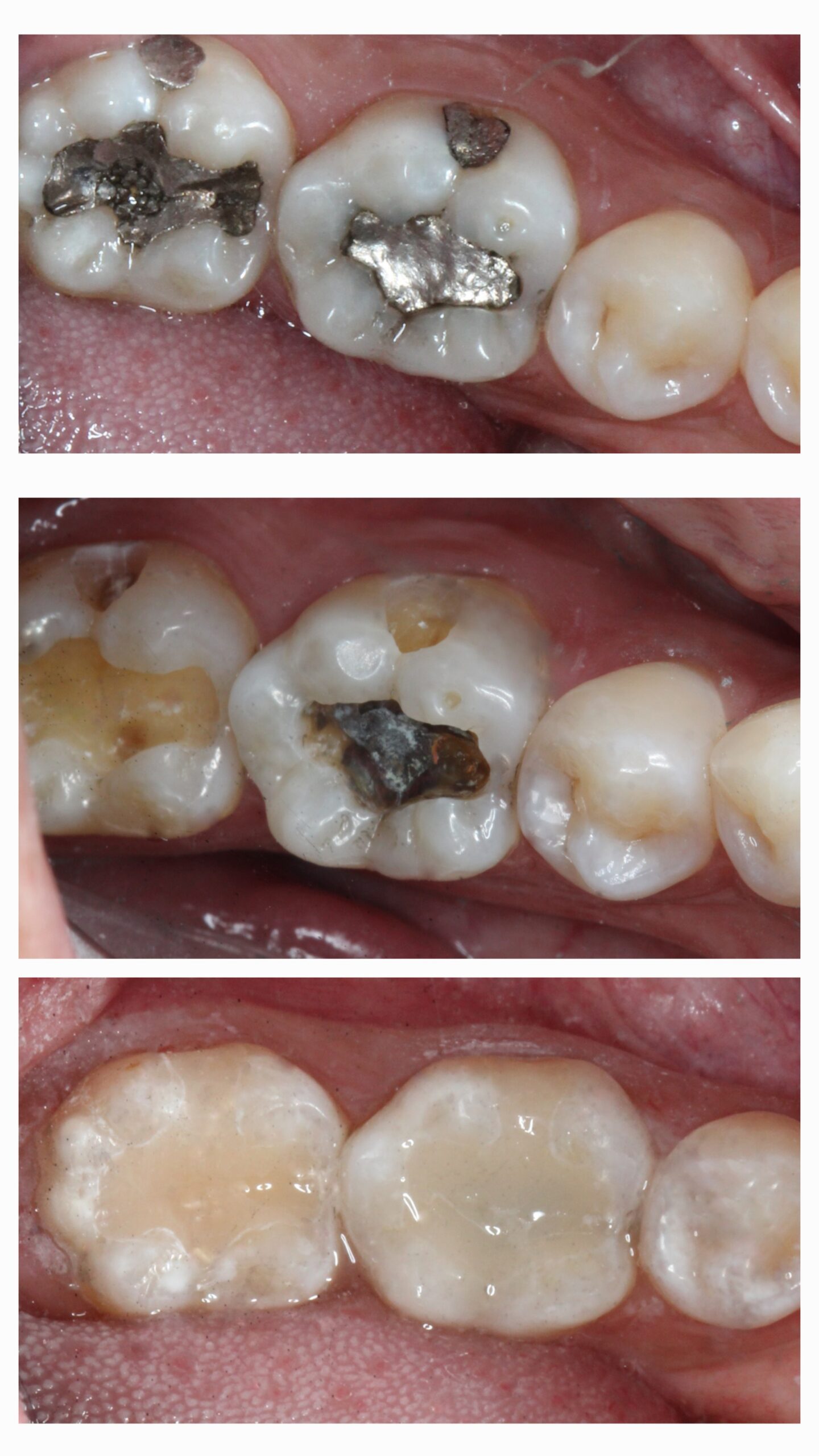
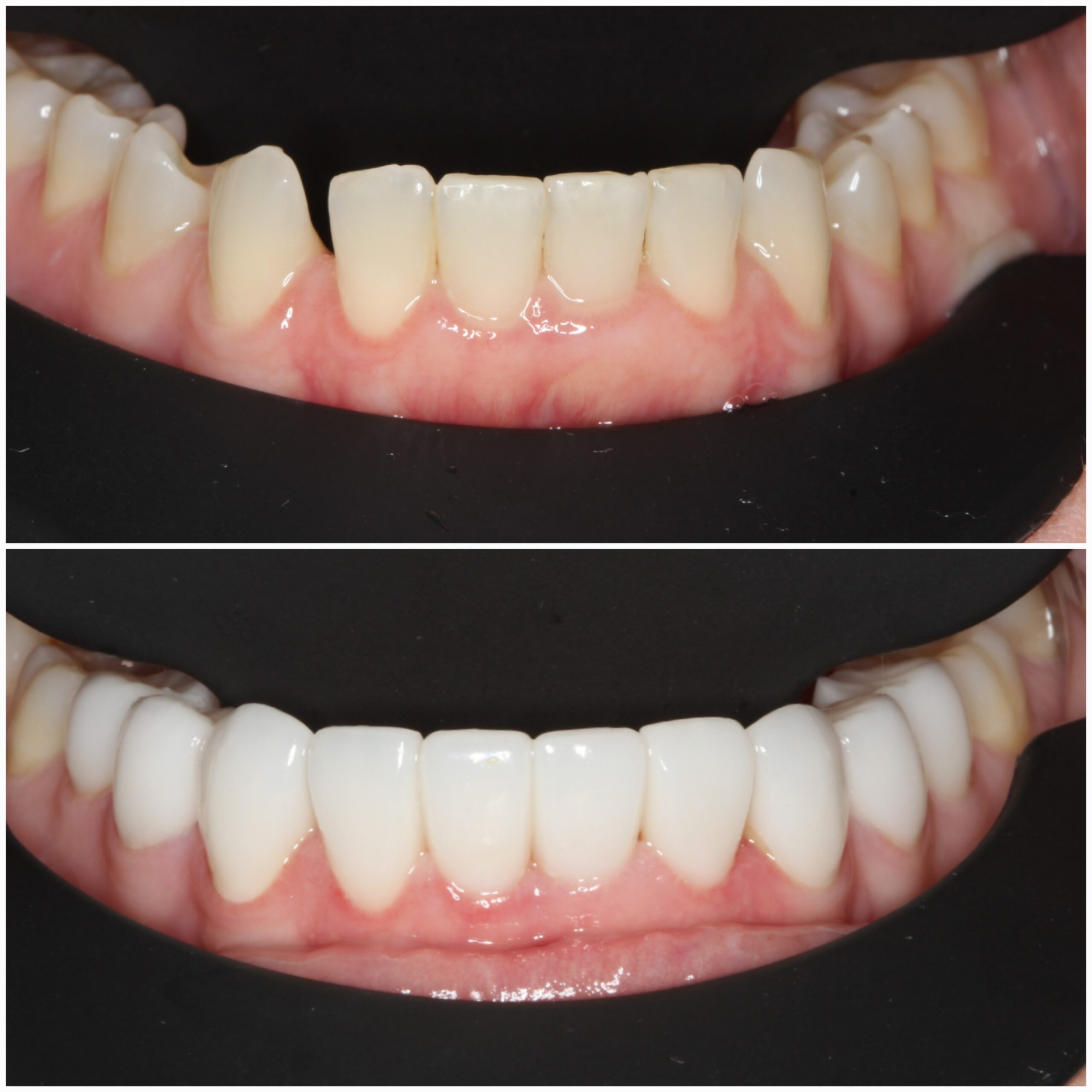
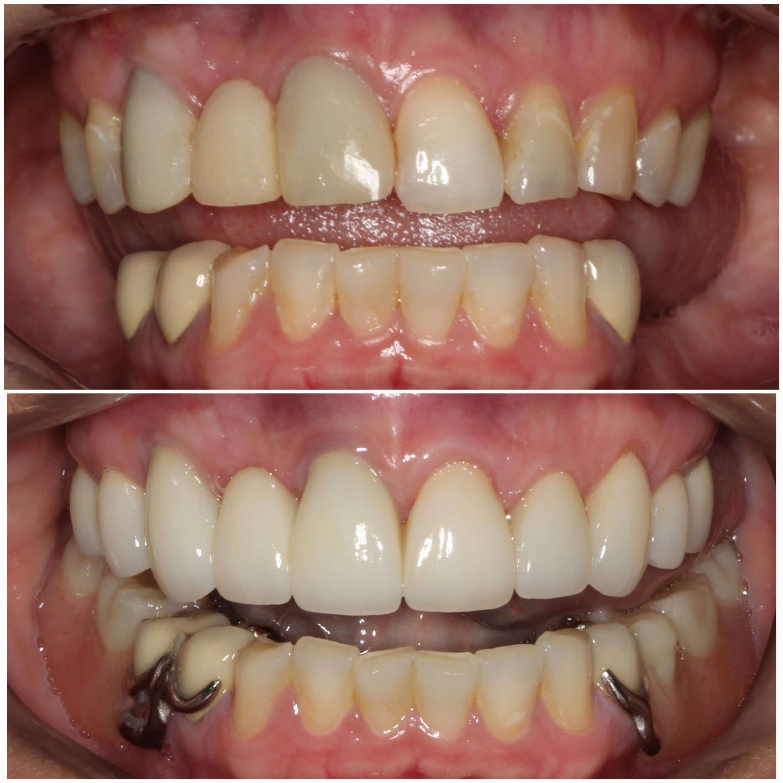
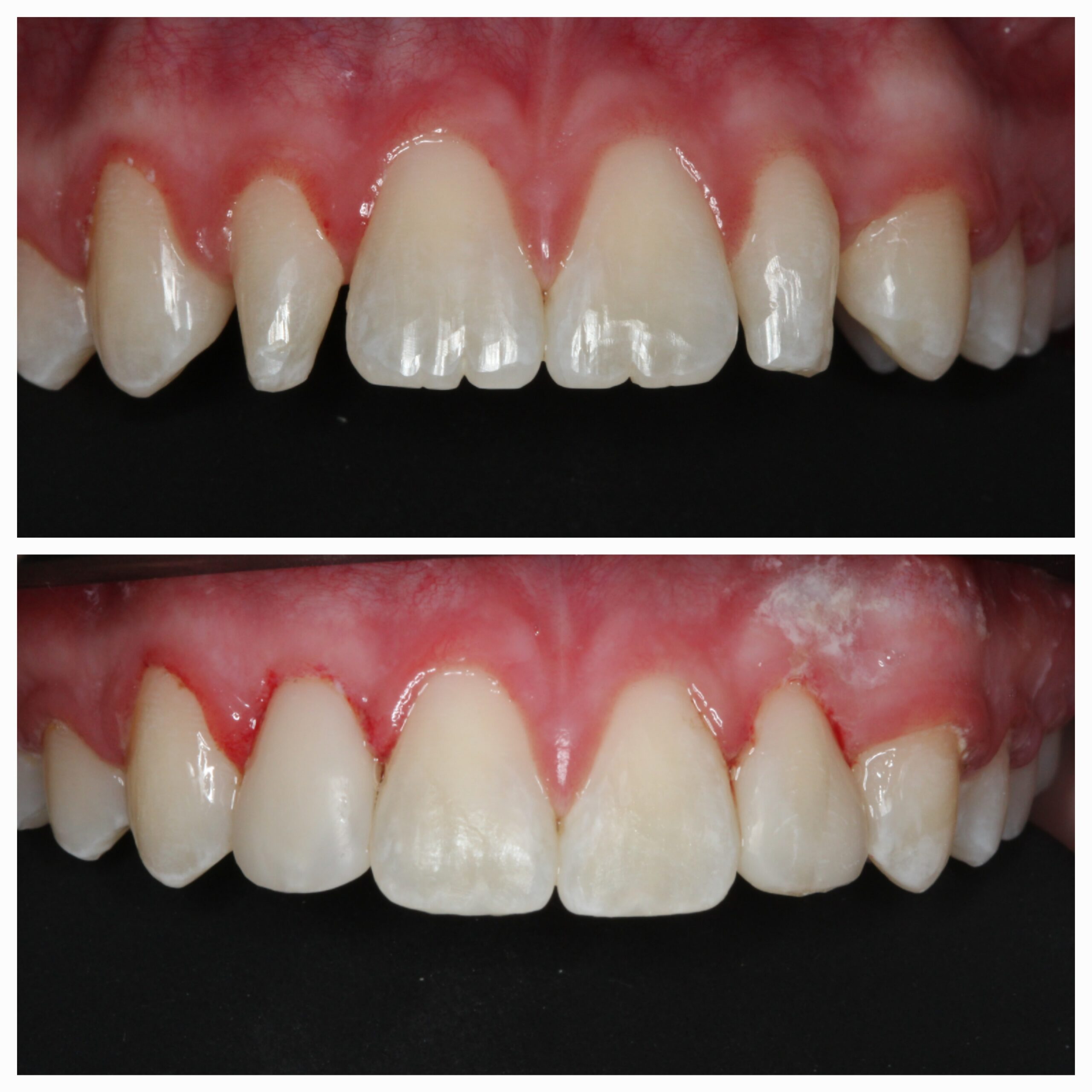
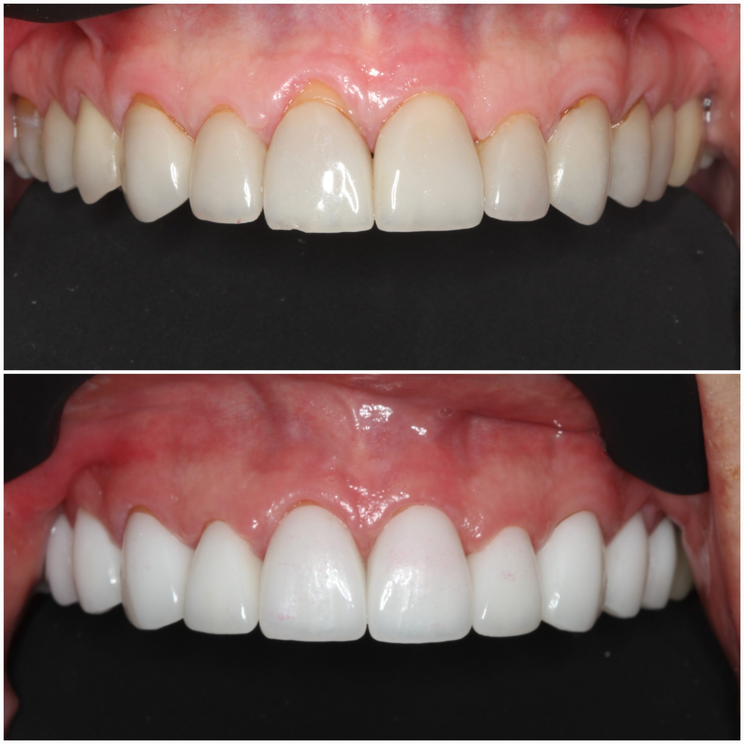
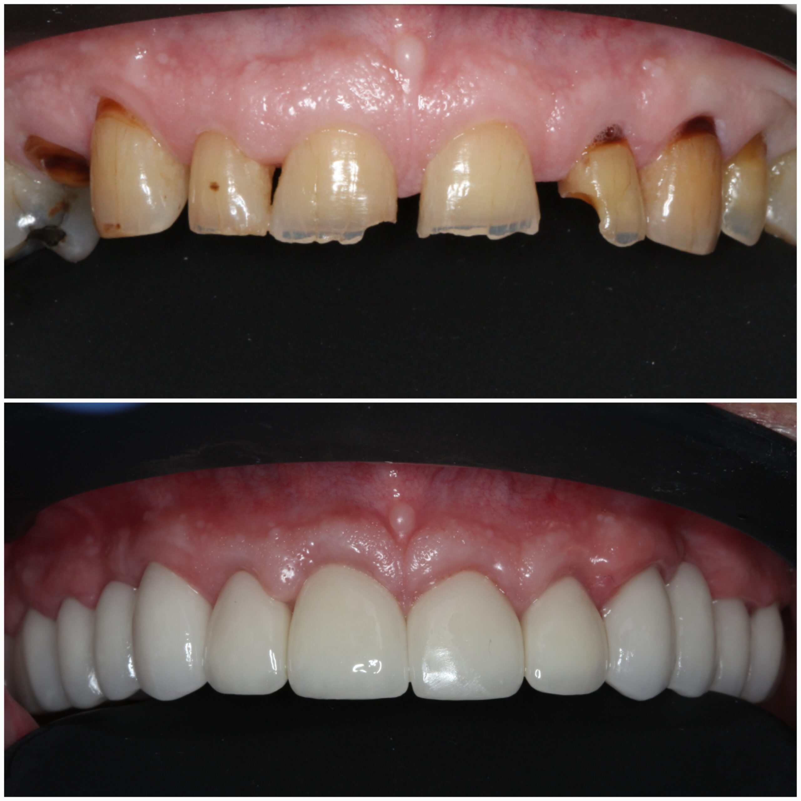
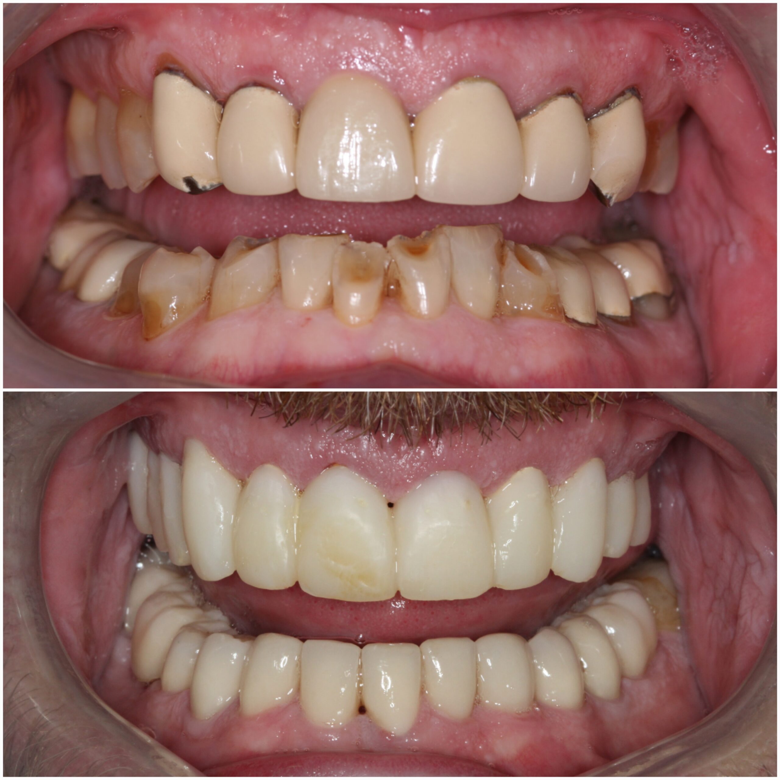
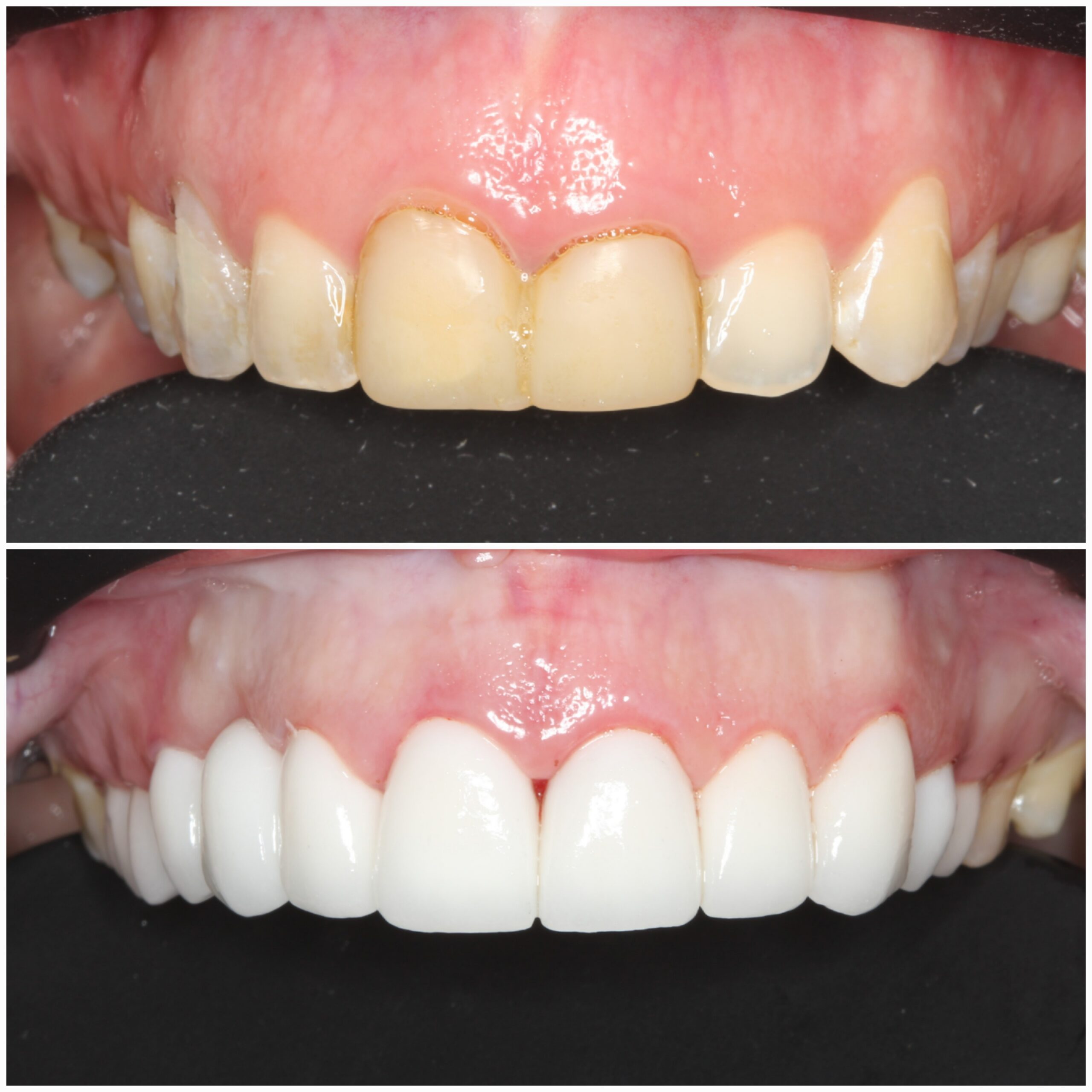
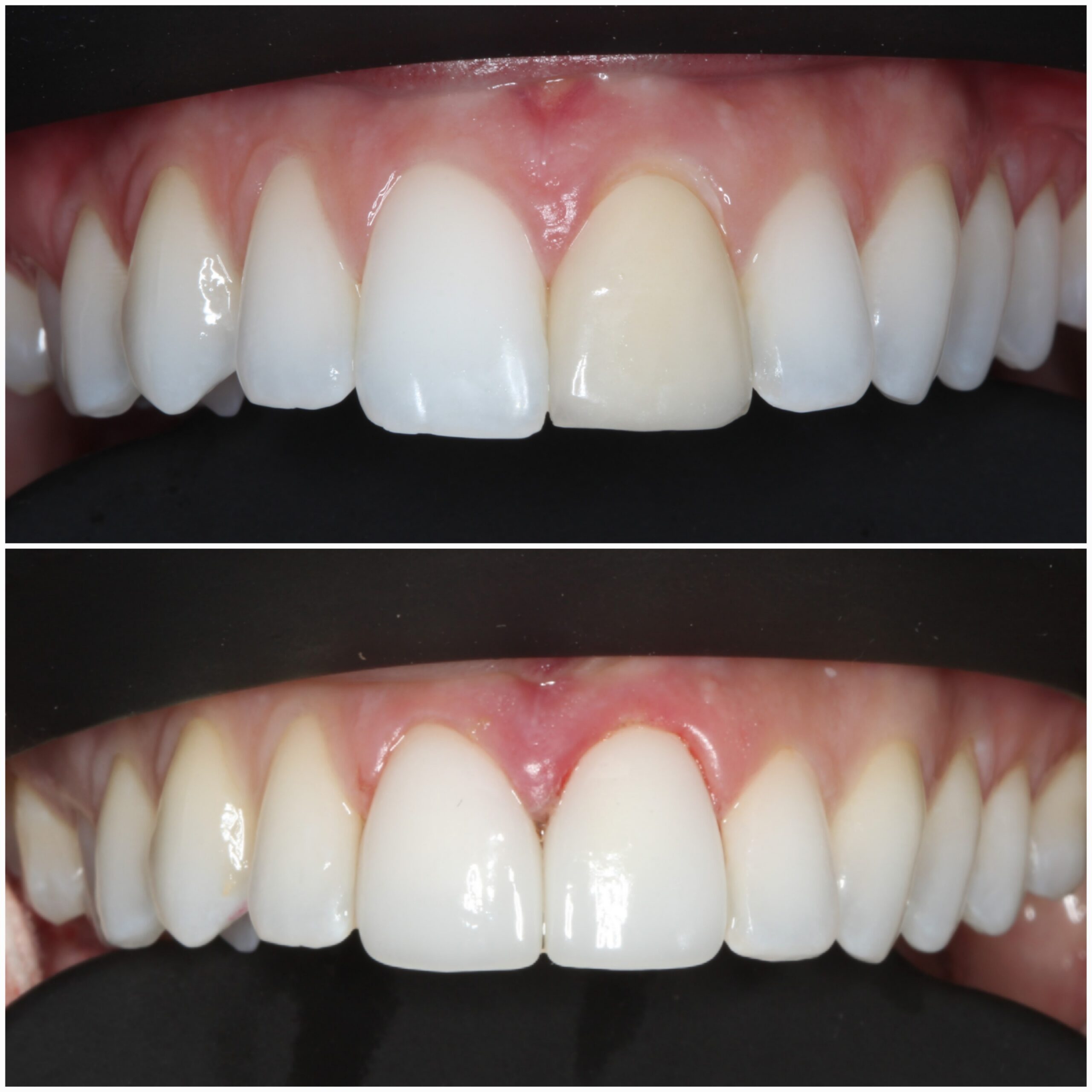
Confidence begins with a radiant smile Explore our patient transformations Book now! Real Stories, Real Smiles Real Stories, Real Smiles Real Stories, Real Smiles Real Stories, Real Smiles Composite Bonding (White Fillings)